好閨蜜相約做肺部檢查 一人固執不理結果癌症末期亡

2025-02-10     鳳愛梵     反饋
3/3
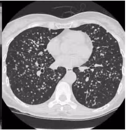
為了保持健康,陳醫師建議關注環境中的危險因素,比如二手煙、三手煙、空氣污染(如PM2.5、汽車廢氣等)、室內空氣污染(如廚房油煙、燒香等)以及遺傳基因等。至於肺癌的預防,陳醫師提出了三條建議:第一,遠離煙草,吸煙可縮短15年的壽命,戒煙後壽命會逐漸恢復;第二,減少有害物質的暴露,做飯時開啟抽油煙機,安裝熱交換器或空氣凈化器,注意空氣品質;第三,定期篩查。對於非高風險群體,建議考慮自費進行低劑量肺部CT檢查,因為早期肺癌往往無明顯症狀,早期發現能夠大大提高治療的成功率。陳醫師自己從35歲開始定期檢查,普通人建議從50歲開始檢查;有家族史等高風險群體,可以使用公共衛生資源進行篩查。
幸山輪 • 17K次觀看
幸山輪 • 660次觀看
喬峰傳 • 3K次觀看
呂純弘 • 830次觀看
李雅惠 • 250次觀看
幸山輪 • 440次觀看
幸山輪 • 160次觀看
幸山輪 • 480次觀看
老臘肉 • 670次觀看
李雅惠 • 120次觀看
李雅惠 • 140次觀看
呂純弘 • 400次觀看
李雅惠 • 120次觀看
喬峰傳 • 310次觀看
老臘肉 • 4K次觀看
喬峰傳 • 1K次觀看
奚芝厚 • 170次觀看
許夢可 • 100次觀看
舒黛葉 • 790次觀看
喬峰傳 • 220次觀看
幸山輪 • 110次觀看
喬峰傳 • 2K次觀看
幸山輪 • 250次觀看
呂純弘 • 5K次觀看